Logo Tours

Qu’est ce qu’une tumeur intracérébrale?

Les tumeurs intracérébrales sont des tumeurs bénignes ou malignes situées dans le cerveau ou le cervelet. Elles peuvent être primitives (d’origine cérébrale) ou secondaire (originaire d’un autre organe)

Comment sont-elles découvertes ?

Les tumeurs intracérébrales sont découvertes soit de façon fortuite soit dû à un symptôme. Il peut s’agir de crise d’épilepsie, ou de déficit neurologique (variable en fonction de la localisation de la lésion).

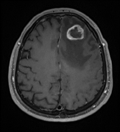
IRM préopératoire d’une lésion tumorale frontale gauche
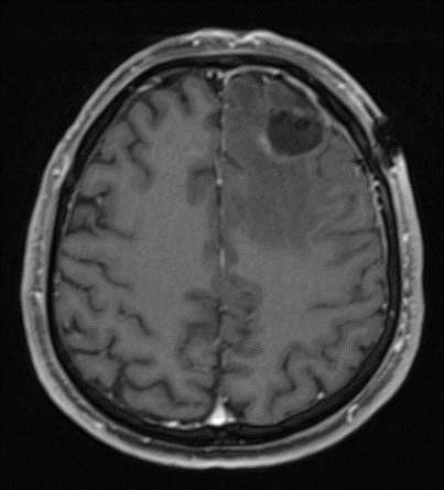
IRM post-opératoire d’une lésion tumorale frontale gauche

IRM pré et post opératoire d’une lésion tumorale frontale gauche

Quelles sont les prises en charge possibles ?

Dans la plupart des cas, une prise en charge chirurgicale sera proposée soit par une biopsie stéréotaxique, soit par une biopsie chirurgicale ou une exérèse chirurgicale en fonction de la tumeur et de sa localisation. Avant toute prise en charge, une consultation est organisée avec le neurochirurgien afin de discuter les bénéfices et risques de la chirurgie.

Biopsie stéréotaxique

La biopsie stéréotaxique consiste à réaliser des prélèvements de la tumeur sous anesthésie locale après la réalisation d’une IRM et la pose d’un cadre de stéréotaxie le matin avant l’intervention.

L’hospitalisation est de 2 nuits :

  • Arrivée la veille de l’intervention
  • Surveillance 1 nuit après la biopsie.

Biopsie chirurgicale

La biopsie chirurgicale consiste à réaliser des prélèvements de la tumeur sous anesthésie générale.

La durée d’hospitalisation est de 4 nuits :

  • Arrivée la veille de l’intervention
  • 2 nuits en unité de soins continus neurochirurgicale
  • 1 nuit en hospitalisation complète
  • Puis retour à domicile

Exérèse chirurgicale

L’exérèse chirurgicale consiste à enlever une partie ou toute la tumeur sous anesthésie générale.

La durée d’hospitalisation est de 4 à 7 nuits :

  • Arrivée la veille de l’intervention
  • 2 nuits en unité de soins continus neurochirurgicale
  • 1 à 3 nuits en hospitalisation complète
  • Puis retour à domicile

Et pour la suite ?

Dans tous les cas, les prélèvements sont envoyés en analyse anatomopathologique pour obtenir un diagnostic.

Le patient est ensuite revu en consultation par son chirurgien après réception des résultats pour lui expliquer la suite de la prise en charge.

  1. Zemmoura I, Fournier E, El-Hage W, Jolly V, Destrieux C, Velut S. Hypnosis for Awake Surgery of Low-grade Gliomas: Description of the Method and Psychological Assessment. Neurosurgery. 2016 Jan;78(1):53-61. doi: 10.1227/NEU.0000000000000993. PMID: 26313220.
  2. Calluaud G, Terrier LM, Mathon B, Destrieux C, Velut S, François P, Zemmoura I, Amelot A. Peritumoral Edema/Tumor Volume Ratio: A Strong Survival Predictor for Posterior Fossa Metastases. Neurosurgery. 2019 Jul 1;85(1):117-125. doi: 10.1093/neuros/nyy222. PMID: 29893943