Logo Tours

Qu’est ce qu’un cavernome ?

Les cavernomes sont des tumeurs bénignes vasculaires (hamartomes) bien circonscrites constitués de vaisseaux irréguliers. Ils peuvent être accompagnés d’anomalie veineuse de développement.

Les cavernomes peuvent apparaitre, croitre ou être stable dans le temps. Ils peuvent saigner, de calcifier ou se thromboser.

Ils sont retrouvés chez 0,02 à 0,16% de la population, ils peuvent être localisés dans tout le système nerveux central et peut être multiples. Il existe des formes familiales.

cavernome
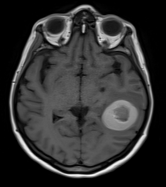
Cavernome ayant saigné avant chirurgie
Cavernome ayant saigné après chirurgie

Cavernome ayant saigné avant et après chirurgie

Comment sont-ils découverts ?

Les cavernomes sont découverts soit de façon fortuite soit dû à un symptôme. Il peut s’agir de crise d’épilepsie, d’hémorragie ou de déficit neurologique. Le risque d’hémorragie est très bas (0,08%) mais ce risque augmente en cas d’antécédents d’hémorragie du au cavernome ou de cavernome situé dans le tronc cérébral.

Le cavernome peut être visualisé sur un scanner cérébral mais l’examen de référence est l’IRM.

Quelles sont les prises en charge possibles ?

Surveillance

La plupart des cavernomes sont surveillés de façon radioclinique pendant quelques années en fonction de la localisation. Si ceux-ci sont stables, un suivi purement clinique peut être organisés.

Traitement chirurgical

Le traitement du cavernome peut être une exérèse chirurgicale en cas de lésions accessibles responsables d’un déficit neurologique, d’hémorragie symptomatique ou de crises convulsives résistantes aux traitement médicamenteux.

Avant le traitement, une consultation est organisée avec le neurochirurgien afin de discuter les bénéfices et risques de la chirurgie.

La durée d’hospitalisation est de 4 à 7 nuits :

  • Arrivée la veille de l’intervention
  • 2 nuits en unité de soins continus neurochirurgicale
  • 1 à 3 nuits en hospitalisation complète
  • Puis retour à domicile

Un suivi est ensuite programmé avec consultation et imagerie tous les 6 mois au départ.

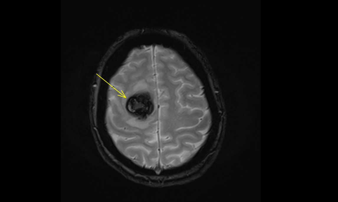
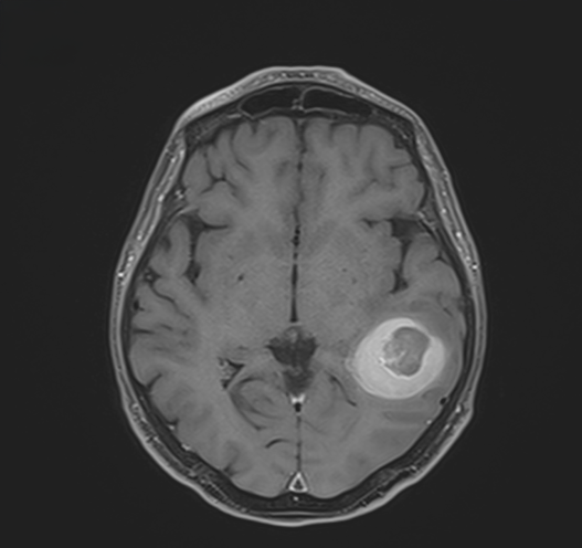
cavernome temporal
Figure 1. Cavernome temporal ayant saigné, en pré-opératoire
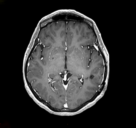
cavernome temporal
Figure 2. Absence de reliquat du cavernome, à 6 mois post-opératoire
  1. Mark S. Greenberg – Handbook of Neurosurgery (2019, Thieme)
  2. Kondziolka D, Lunsford LD, Kestle JR. The natural history of cerebral cavernous malformations. J Neurosurg. 1995 Nov;83(5):820-4.