Logo Tours

Qu’est-ce qu’un adénome hypophysaire ?

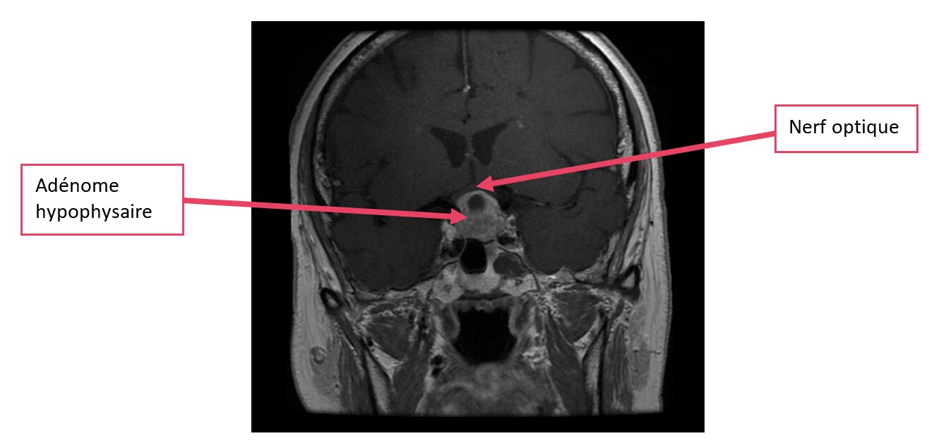
L’hypophyse est une petite glande située sous le cerveau qui contrôle la production d’hormones comme le cortisol, les hormones thyroïdiennes, l’hormone de croissance, la prolactine, les hormones sexuelles, l’ocytocine et l’hormone antidiurétique (qui limite la production des urines).

L’adénome hypophysaire est une tumeur bénigne qui se développe dans l’hypophyse.

Quels sont les symptômes ?

L’adénome peut être découvert en cas de production excessive de certaines hormones (troubles des menstruations, écoulement mammaire, modification du visage, des mains des pieds, diabète, syndrome d’apnée du sommeil, hypertension artérielle…) ou par compression des structures nerveuses à proximité comme le nerf optique (vision floue, maux de tête…), mais il peut être asymptomatique et découvert sur une imagerie cérébrale réalisée pour des symptômes sans rapport avec l’adénome (découverte fortuite).

adénome hypophysaire
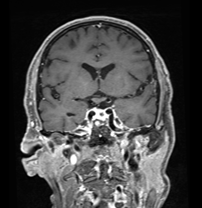
Macroadénome hypophysaire pré-opératoire
Macroadénome hypophysaire post-opératoire

Macroadénome hypophysaire (flèche rose) pré et post opératoire

Quelles sont les prises en charge possible ?

La décision de proposition du traitement émane d’une décision collégiale lors d’une réunion multidisciplinaire incluant des Neurochirurgiens, des Endocrinologues, des Radiologues…

Le patient est ensuite vu en consultation par le neurochirurgien ou les endocrinologues en fonction de la proposition de traitement pour discuter des principes de la prise en charge, de l’hospitalisation, de la chirurgie et des risques.

Traitement médical

Les tumeurs sécrétant de la prolactine et celles sécrétant de l’hormone de croissance de petit volume peuvent bénéficier d’un traitement médical.

Surveillance

Parfois, une simple surveillance grâce à un suivi par imagerie cérébrale régulière peut être nécessaire en présence d’un adénome peu volumineux qui ne provoque pas de symptôme ni sécrétion hormonale anormale.

Radiothérapie

La radiothérapie est une possibilité en complément de la chirurgie et/ou des médicaments.

Technique chirurgicale

Nous utilisons la voie endonasale (qui passe par le nez) sous contrôle microscopique ainsi que des instruments spécifiques. Cette technique mini-invasive utilise les voies naturelles, permettant de ne pas laisser de cicatrice visible. Cette chirurgie est réalisée sous anesthésie générale.

Technique chirurgicale par voie endonasale
Figure 1. Approche transnasale transsphénoïdale.
L'ablation chirurgicale d'un adénome hypophysaire est généralement effectuée par le nez.

Crédit : Universitätsklinik für Neurochirurgie, Inselspital Bern  © CC BY-NC 4.0

Et la suite ?

La durée d’hospitalisation est d’environ 4-5 nuits :

  • Arrivée la veille de l’intervention
  • 1 à 2 nuits en unité de soins continus neurochirurgicale
  • 1 à 2 nuits en hospitalisation dans le service d’endocrinologie (nécessaire pour l’adaptation des traitements hormonaux substitutifs)

Ce qu’il ne faut pas faire :

Les baignades en eaux sales (piscine, mer, jacuzzi), les voyages en avion, les efforts de mouchages et l’activité physique à haute intensité sont contre-indiqués pour une durée de 6 semaines. La conduite automobile est dépendante de la vision.

Un arrêt de travail est prescrit pour une durée de 1 mois à 6 semaines en fonction des cas. La fatigue est fréquente dans les premiers jours mais il est conseillé de reprendre progressivement une vie normale.

Une consultation de Neurochirurgie et d’Endocrinologie ont lieu à 3 mois de la chirurgie après la réalisation d’une IRM cérébrale et d’un bilan hormonal complet, afin d’établir le résultat définitif de la chirurgie.

Le suivi se prolongera ensuite par des consultations régulières avec le Neurochirurgien et l’Endocrinologue. 

 

  1. Zemmoura, I., Wierinckx, A., Vasiljevic, A. et al. Aggressive and malignant prolactin pituitary tumors: pathological diagnosis and patient management. Pituitary 16, 515–522 (2013).
  2. Terrier LM, Amelot A, Velut S, François P, Zemmoura I. The Musical Footprint of Cushing Syndrome. JAMA Intern Med. 2016 Jul 1;176(7):1016-7. doi: 10.1001/jamainternmed.2016.2078. PMID: 27243790.