Logo Tours

Qu’est-ce qu’une hernie discale ?

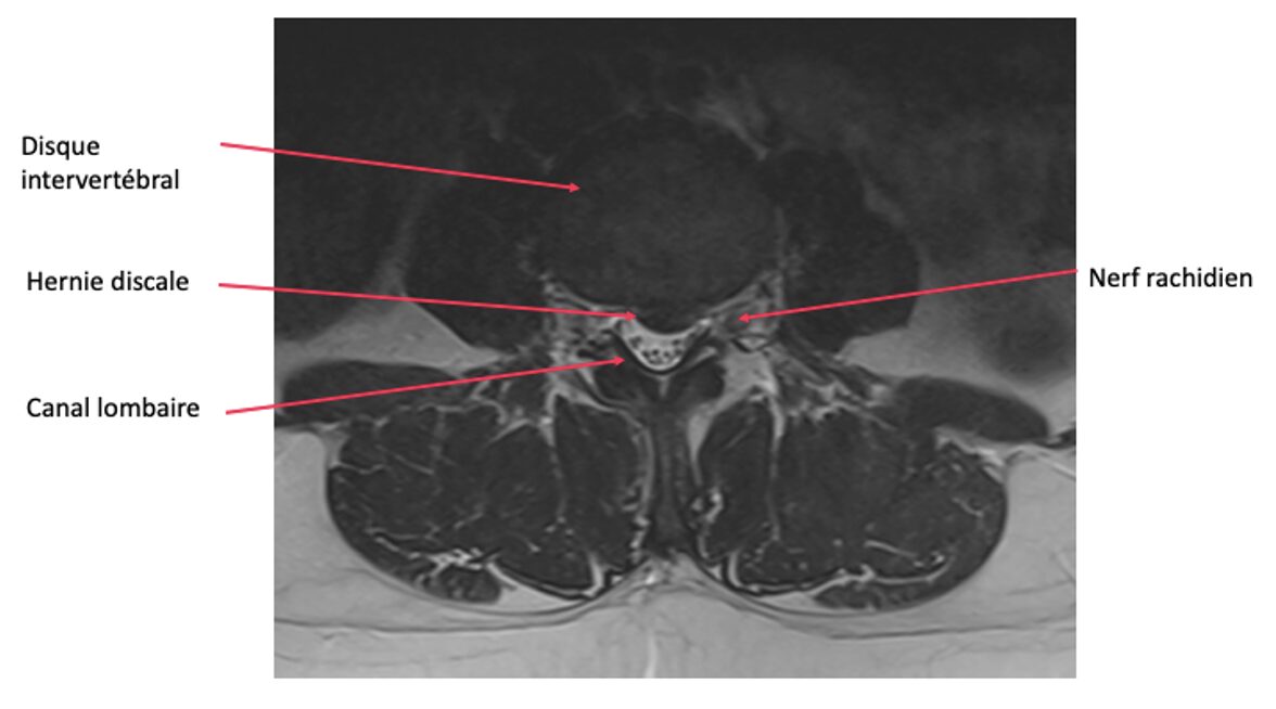
Hernie discale lombaire
Figure 1. Hernie discale lombaire
Hernie discale L5S1 avant et après chirurgie

Hernie discale L5S1 avant et après chirurgie

La colonne vertébrale est composée d’une superposition de vertèbres. Entre chaque vertèbres se trouve le disque intervertébral, qui sert d’amortisseur, et qui est composé du noyau central et de « l’annulus » (partie périphérique). Lorsque l’annulus se déchire (souvent par usure)  une partie du noyau s’échappe : c’est que l’on appelle une hernie discale. Cette hernie peut comprimer un nerf à l’intérieur du canal vertébral.

Quels sont les symptômes ?

  • Radiculalgie : lorsque qu’une racine nerveuse est comprimée, une douleur peut apparaitre dans la jambe du côté de la hernie. Selon le niveau de la hernie, différentes racines nerveuses sont comprimées. Une atteinte des racines L3 ou L4 donnera une cruralgie (douleurs sur la face antérieure de la cuisse) , une atteinte L5 ou S1 donnera plutôt une sciatique ( douleurs en arrière et sur le côte de la jambe). L’intensité et la durée de la douleur sont variables, et toutes les hernies ne sont pas symptomatiques. Il est possible de retrouver une hernie à l’IRM sans que le patient n’ai de douleurs.
  • Lombalgies : Certains patients présentent une douleur dans le bas du dos associée à la douleur dans la jambe. Celle-ci n’est pas directement due à la hernie mais plutôt à l’usure du disque.
  • Troubles de la sensibilité : certains patient décrivent un trouble de la sensibilité ou des fourmillements ou engourdissement, qui ne sont pas des facteurs de gravité ( sauf en cas d’apparition sur les organes sexuels).
  • Paralysie : dans certains cas, on retrouve une paralysie (impossibilité de faire le mouvement souhaité) au niveau du pied, du genou, de la cuisse. Il peut aussi exister des troubles génitaux sphinctérien (incontinence urinaire ou anale, impuissance).

Comment confirmer le diagnostic ?

Le diagnostic d’une hernie discale se fait grâce à l‘IRM dans le meilleur des cas, mais est aussi possible sur un scanner.

Quelle est la prise en charge ?

Plus de 80% des hernies guérissent en 6 à 8 semaines avec un traitement médical comprenant :

  • Des médicaments contre la douleur et des anti-inflammatoires
  • De la kinésithérapie
  • Des infiltrations (qui consistent à injecter des corticoïdes à côté de la racine nerveuse comprimé, sous contrôle scanner par un radiologue).

Elles se résorbent et sont réabsorbées par le corps. La taille de la hernie n’influe pas sur sa disparition. Elles peuvent aussi persister mais ne plus être douloureuse. 

En cas de persistance de la douleur après 6-8 semaines de traitement médical, se pose la question d’une prise en charge chirurgicale.

Il existe des situations où l’on propose une chirurgie en urgence (consultation aux urgence le jour même nécessaire):

  • En cas de syndrome de la queue de cheval : troubles de la sensibilité au niveau du vagin/des testicules ou de l’anus, trouble de la continence urinaire ou fécale.
  • Paralysie d’un groupe musculaire important des pied , du genou, de la hanche . Une paralysie isolée des orteils n’est pas une urgence.
  • Sciatique hyperalgique : douleur insupportable , résistante à tous les médicaments y compris la morphine.

Comment se déroule l‘intervention ?

Le but de l’intervention est de libérer le nerf comprimé en retirant la hernie discale.

L’objectif principal est de supprimer ou diminuer la douleur dans la jambe. Elle n’a pas pour but du diminuer la douleur dans le dos.

Dans certains cas, le nerf peut être abimé après une compression longue, et la douleur peut persister.

L’intervention est courte, sous anesthésie générale. Les risques et bénéfices de la chirurgie sont à discuter avec votre chirurgien lors de la consultation

Et la suite ?

Les suites sont habituellement simples avec un premier lever le jour de l’intervention et une sortie le lendemain. Le retour se fera à domicile dans la majorité des cas.

Les agrafes ou les fils seront à faire retirer par une infirmière à domicile 10 jours après l’intervention.

Une rééducation est souvent prescrite, à débuter une fois la cicatrisation obtenue, pour renforcer les muscles du dos.

Si besoin, un arrêt de travail allant de 1,5 à 3 mois (selon la nature du travail) sera prescrit.

A éviter pendant 6 semaines après votre intervention :

  • Le port de charges lourdes
  • Le sport et les efforts en général, mener une vie normale.
  • Ne pas toucher à votre cicatrice. La garder bien propre et sèche.
  1. Aymeric Amelot, Christian Mazel, The Intervertebral Disc: Physiology and Pathology of a Brittle Joint, World Neurosurgery, Volume 120, 2018, ISSN 1878-8750,

  2. Planty-Bonjour, Alexia; Kerdiles, Gaelle; François, Patrick MD; Destrieux, Christophe MD; Velut, Stephane; Zemmoura, Ilyess ; Cook, Ann-Rose; Terrier, Louis-Marie; Amelot, Aymeric. Cauda Equina Syndrome: Poor Recovery Prognosis Despite Early Treatment. SPINE 47(2):p 105-113, January 15, 2022.