Logo Tours

Qu’est-ce que la malformation de Chiari ?

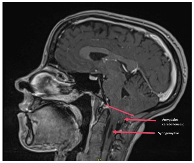
Il s’agit d’une malformation congénitale ou acquise correspondant à une anomalie de la charnière occipito-cervicale avec une descente d’une partie du cervelet dans le trou occipital (où se situe habituellement uniquement le tronc cérébral).

Celle-ci est souvent associée à des troubles de la circulation du liquide cérébro-spinal et peut aboutir à une accumulation de liquide notamment au niveau médullaire (=syringomyélie).

malformation d’Arnold-Chiari
Malformation d’Arnold Chiari avec syringomyélie, préopératoire
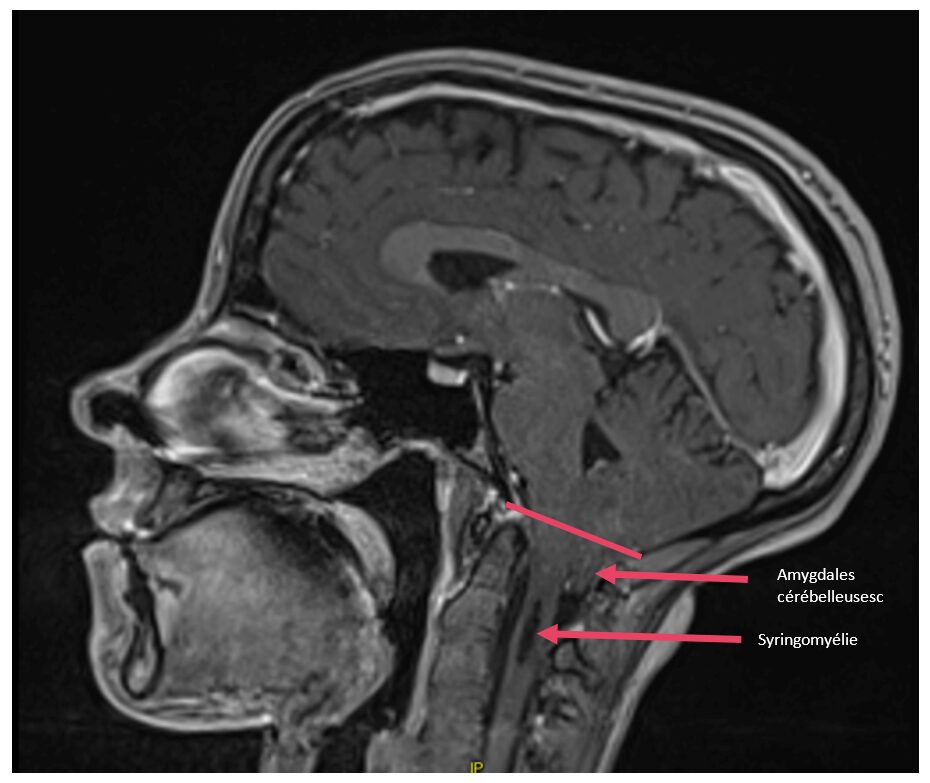
Malformation d’Arnold Chiari avec syringomyélie, post opératoire

Pré et post opératoire, disparition de l’engagement des tonsilles cérébelleuses et diminution de la syringomyélie

Comment est-elle découverte ?

La découverte peut être fortuite (imagerie réalisée pour des symptômes sans rapport avec cette malformation).

Les symptômes de la malformation de Chiari peuvent être :

  • Céphalées, augmentée lors de l’effort / la toux
  • Faiblesses dans les membres
  • Troubles de la sensibilité des membres (notamment absence de sensation de la température)
  • Troubles du sommeil (syndrome d’apnée du sommeil central).

L’IRM cérébro-médullaire permet le diagnostic.

Des examens complémentaires tels qu’une polysomnographie ou une consultation en ophtalmologie peuvent être nécessaire.

Quelle est la prise en charge chirurgicale ?

En cas de symptômes invalidants en lien avec la malformation de Chiari, une prise en charge peut être proposé.

Il s’agit de la réalisation d’une plastie d’agrandissement au niveau de la charnière occipito-cervical.

Sous anesthésie générale, il est réalisé l’ablation d’une partie de l’os occipital +/-  la partie postérieure de la première vertèbre cervicale. Ensuite la dure mère est ouverte et une plastie est réalisée avec apposition d’un substitut.

La chirurgie correspond donc à un élargissement du trou occipital permettant un repositionnement du cervelet et la levée de la compression du tronc cérébral. Le liquide cérébrospinal peut également reprendre un écoulement classique.

La durée d’hospitalisation est de 4 à 7 nuits :

  • Arrivée la veille de l’intervention
  • 2 nuits en unité de soins continus neurochirurgicale
  • 1 à 3 nuits en hospitalisation complète
  • Puis retour à domicile

Et pour la suite ?

En post opératoire immédiat, il est fréquent que le patient présente des nausées, vertiges voir des vomissements. Ces symptômes cèdent généralement dans les premières jours post opératoires.

Le patient est ensuite revu par son chirurgien en consultation post-opératoire avec une imagerie de contrôle.