Logo Tours

Qu’est-ce que l’hydrocéphalie ?

L’hydrocéphalie est définie par une augmentation du volume des ventricules cérébraux responsable de symptômes cliniques. Les ventricules cérébraux sont des cavités situées au centre du cerveau qui contiennent le liquide cérébro-spinal (LCS). Ils sont au nombre de 4,  communiquent entre eux puis le liquide circule dans les espaces autours du cerveau (espace sous arachnoïdien).

Hydrocéphalie
Figure 1. Hydrocéphalie

Crédit Adobe stock | VectorMine

L’hydrocéphalie peut survenir à tout âge de la vie et dans de nombreuses situations différentes. Elle est divisée en deux grandes catégories.

Hydrocéphalie obstructive (=non communicante)

La dilatation ventriculaire est alors présente en amont d’un obstacle situé sur la filière ventriculaire. Les ventricules ne communiquent plus librement avec le LCS autour du cerveau.

Hydrocéphalie communicante  

Dilatation symptomatique des ventricules cérébraux sans obstacle sur la filière ventriculaire, secondaire à une diminution des capacités de résorption du LCS.

Comment est-elle découverte ?

Lorsque la dilatation est aigue, il existe des symptômes à type de céphalées, nausées, vomissements. Lorsque la dilatation est chronique, il peut exister des troubles de la marches/de l’équilibre, des troubles cognitifs et/ou une incontinence urinaire  chronique.

Ainsi, une imagerie cérébrale (IRM ou Scanner) est réalisée permettant de constater l’augmentation du volume des ventricules.

Lorsque qu’il n’y a pas d’obstacle visible sur l’imagerie, il est souvent nécessaire de réaliser un « bilan d’hydrocéphalie » lors d’une hospitalisation dans le service de Neurochirurgie de 24h.

Au cours de ce bilan, une évaluation par les kinésithérapeutes est réalisée avant et 24h après la réalisation d’une ponction lombaire. Au terme de ce bilan, l’indication au traitement chirurgicale de l’hydrocéphalie est retenue ou infirmée par le Neurochirurgien.

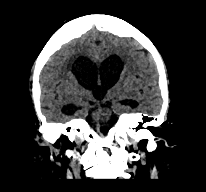
IRM hydrocephalie

Quelles sont les prises en charge possibles ?

Le traitement de cette pathologie nécessite une chirurgie qui est réalisée sous anesthésie générale. Celle-ci consiste à dériver le LCS qui s’accumule dans le crâne.

Hydrocéphalie communicante : dérivation ventriculaire

Un cathéter réglable est introduit dans les ventricules et connecté à la cavité abdominale (=dérivation ventriculo-péritonéale) ou au niveau du cœur dans l’atrium cardiaque droit (=dérivation ventriculo-atriale).

cathéter
Hydrocéphalie avant et après drainage ventriculaire
Dérivation ventriculo-péritonéale

Dérivation ventriculo-péritonéale

Hydrocéphalie obstructive : ventriculocisternostomie

 Un orifice dans le 3e ventricule (=ventriculocisternostomie) est réalisé à l’aide d’un endoscope (caméra chirurgicale) afin de créer une voie de dérivation du liquide en lui permettant de s’écouler autour du cerveau.

La durée d’hospitalisation est de 2 à 3 nuits :

  • Arrivée la veille de l’intervention
  • 1 à 2 nuits en hospitalisation de neurochirurgie

En post-opératoire

Le patient bénéficie d’une imagerie de contrôle

Il est ensuite suivi régulièrement par le neurochirurgien avec des contrôles par imagerie cérébrale régulière afin de s’assurer que le cathéter de dérivation ou l’orifice restent fonctionnels.