Logo Tours

Qu’est-ce qu’une névralgie trigéminale essentielle ?

Les névralgies faciales ou trigéminales essentielles sont dues à un conflit entre le nerf trigéminal (5e nerf crânien) et une artère (artère cérébelleuse supérieure ou artère cérébelleuse antéro-inferieure).

Il s’agit d’une pathologie apparaissant plutôt après 60 ans. Il existe 5 à 20 nouveaux cas par 100 000 habitants par an en France.

névralgie trigéminale

Quels sont les symptômes ?

Il s’agit d’une douleur touchant une partie spécifique du visage, bien délimitée, unilatérale (dans le territoire du nerf trijumeau). La douleur est souvent très intense, survenant par crises avec des facteurs déclencheurs, telle que la parole, la mastication ou même le contact avec une zone « gâchette ».

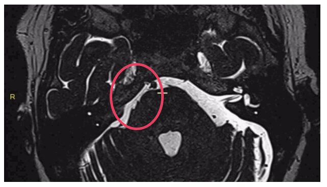
Il est important d’éliminer tous les autres diagnostics pour établir le diagnostic de conflit vasculo-nerveux qui pourra être confirmer par la réalisation d’une IRM cérébrale.

Quelles sont les prises en charge possibles ?

Dans un premier temps, après élimination des diagnostics différentiels, la prise en charge est médicamenteuse puis chirurgicale si nécessaire.

Traitements médicamenteux

La carbamazépine est le traitement de référence de la névralgie trigéminale essentielle. En cas d’inefficacité et/ou d’intolérance, d’autres traitements peuvent être proposés.

Traitements chirurgicaux

En cas d’inefficacité et/ou intolérance des traitements médicamenteux le traitements peut être chirurgical.

Technique percutanées 

Réalisation d’une coagulation ou une compression du ganglion trigéminale.

Le risque principal est une anesthésie du visage.

Radiochirurgie

Irradiation du nerf de façon très focalisée

Le risque principal est une anesthésie du visage.

Décompression microchirurgicale

Lorsqu’un conflit vasculo-nerveux est visualisée sur l’imagerie, une décompression peut être réalisée. Il s’agit d’empêcher le contact entre l’artère et le nerf par apposition d’un substitut entre les 2.

La durée d’hospitalisation est de 4 à 7 nuits :

  • Arrivée la veille de l’intervention
  • 2 nuits en unité de soins continus neurochirurgicale
  • 1 à 3 nuits en hospitalisation complète
  • Puis retour à domicile

Les principes de la chirurgie et les risques sont à discuter avec le neurochirurgien.

Les 3 techniques chirurgicales permettent un soulagement quasi immédiat des douleurs dans 80 à 90% des cas.

Conflit vasculo-nerveux
Figure 1. Conflit vasculo-nerveux pré opératoire
Conflit vasculo-nerveux
Figure 2. Apposition d'une substitut pour lever le conflit
  1. Louis-Marie Terrier, Ilyess Zemmoura, Aymeric Amelot, Christophe Destrieux, Patrick François, Stéphane Velut, New insights into the trigeminal nerve somatotopy: Lessons from partial sensory rhizotomy, Morphologie, Volume 101, Issue 335, 2017, ISSN 1286-0115,2.

  2. Terrier, LM., Hadjikhani, N. & Destrieux, C. The trigeminal pathways. J Neurol 269, 3443–3460 (2022). https://doi.org/10.1007/s00415-022-11002-4